当前位置:
百代生物丨转染试剂,试用装来啦!
来源: | 作者:百菱生物 | 发布时间: 242天前 | 1129 次浏览 | 🔊 点击朗读正文 ❚❚ | 分享到:

免费申请

百代生物·转染试剂






百代生物

试用装产品列表

系列

产品名称

siRNA转染

Rfect V2 siRNA转染试剂

质粒转染

Lipofect 5000 质粒转染试剂

Lipofect 9000 质粒DNA转染试剂

RFect质粒DNA转染试剂盒

RFect293细胞DNA转染试剂盒

Prime系列

RFect Prime核酸转染试剂盒

联系客服/免费申请








产品

Rfect V2 siRNA转染试剂

RFect V2 siRNA转染试剂是在RFect siRNA转染试剂基础上的升级产品,目前受到很多实验室的肯定。该试剂以新型可降解纳米材料为主要成分研发而成,区别于市场上的脂质体类转染试剂如Lipofectamine 3000、RNAi MAX。


产品特点

        升级后的RFect V2 siRNA转染试剂在各方面都有显著的提升。细胞毒性上,使用RFect V2 siRNA转染试剂在细胞融合度30-50%之间进行转染,转染后细胞死亡率只有5%左右,比RFect要更低,似乎还略优于RNAi MAX。转染效率上,Rfect V2 siRNA转染试剂盒里配置有专研的siRNA转染增强剂,能够有效降低细胞膜的免疫排异反应,从而提升siRNA转染的效率。实验数据显示,Rfect V2在很多贴壁细胞中的mRNA敲除效率可高达95%左右,比Rfect小核酸转染试剂要高出5-30%。我们将RFect V2和RNAi MAX分别转染小核酸NC-FAM到Hela细胞中,比较两个试剂的转染效率,结果发现,两者的转染效率皆达到了90%以上,难分伯仲。

       另外,使用RFect V2 siRNA转染试剂不需要搭配如Opti-MEM这类特殊的培养基,其siRNA转染增强剂可完全替代无血清培养基配制转染复合物,转染效果更好。同时,血清对Rfect V2的转染效果也没有影响,也不必在转染4-6小时后换液,这些方面增加了实验的方便性,更有利于研究者使用。







产品

Lipofect 5000 质粒转染试剂

Lipofect5000是百代生物在研究了国外同类产品性能的基础上开发的一款高性能通用型核酸转染试剂,适用于将质粒DNA转染入哺乳动物细胞。Lipofect5000具有非常优异的转染性能,可转染绝大多数贴壁细胞、原代细胞和悬浮细胞。


产品特点

  1. 细胞转染性能配置有Trans Buffer,可完全替代无血清培养基,能有效提高质粒DNA转染效率,促进蛋白表达,可高效转染绝大多数贴壁细胞、原代和悬浮细胞等,在贴壁细胞中的转染阳性率可高达90%以上;

  2. 轻松转染:对于很多较难转染的免疫细胞和神经细胞,如Raw264.7、Neuro-2a、BV2、SH-SY5Y等, 能够获得较为理想的转染效果;

  3. 极低的细胞毒性:使用可降解生物纳米材料研发而成,毒性极低,转染后细胞死亡率只有10%左右,大大降低了因细胞毒性对实验结果的影响;

  4. 操作简便:无需在转染后4-6小时左右换液,不需要额外购买Opti-MEM,可以正常使用含血清培养基;

  5. 极高的性价比优势:转染性能显著优于部分国 际权威品牌而价格不足其30%。

效果展示








产品

Lipofect9000质粒DNA转染试剂

Lipofect9000是百代生物在Lipofectamine 3000和Lipofect5000的基础上开发的一款拥有更高性能的DNA转染试剂,适用于将质粒DNA转染入各种哺乳动物细胞中。


产品特点

  1. 细胞转染性能:配置有Trans Buffer,可完全替代Opti-MEM或无血清培养基,能有效降低细胞膜的免疫排异反应,显著提升质粒DNA的转染效率,促进蛋白表达,可高效转染绝大多种贴壁细胞、原代细胞和悬浮细胞,在贴壁培养的Hela细胞中,Lipofect9000对EGFP的转染阳性率可高达90%以上;

  2. 出众的质粒DNA转染效率:对于很多转染难度较大的细胞如巨噬细胞、单核细胞、神经细胞、肝癌细胞、胃癌细胞、白血病细胞等也有较高的转染效率,在小鼠巨噬细胞RAW264.7中的转染阳性率可高达75%以上;

  3. 极低的细胞毒性:采用升级版的可降解生物纳米材料,配方更加温和,转染后细胞死亡率仅5%左右,大大降低了因细胞毒性对实验结果的影响;

  4. 操作简便:无需在转染后4-6小时左右换液,不需要额外购买Opti-MEM,可以正常使用含血清培养基。

效果展示








产品

RFect质粒DNA转染试剂盒

RFect Plasmid DNA Transfection Reagent是我公司研发团队经过上百次实验、在DeofectEU Transfection Reagent的基础上进一步优化研发成功的专门用于质粒DNA细胞转染的转染试剂。


产品特点

  1. 优异的细胞转染性能:可高效转染多种贴壁细胞,转染效率在贴壁细胞中可高达90%以上;

  2. 极低的细胞毒性:使用可降解生物材料,细胞毒性低,转染细胞死亡率不到10%,大大降低了因细胞毒性对实验结果的影响,实验结果更为客观;

  3. 操作简便:可用于含血清培养基培养细胞的转染,转染前后不需要更换培养液。

热销品类







产品

RFect293细胞DNA转染试剂盒

293细胞(人胚肾细胞)系包括AAV293、HEK293、293T、293F、293A等细胞株,是进行病毒包装和重组蛋白表达较为常用的工程细胞之一。特别是AAV293细胞,目前已成为腺相关病毒(AAV)包装较为理想的宿主细胞,而AAV是目前基因治疗的主要病毒载体之一。百代生物经长期实验摸索,研发成功了293细胞专用的RFect 293细胞DNA转染试剂


产品特点

  1. 优异的细胞转染性能:可高效转染293细胞,包括AAV293、HEK293、293T、293F、293A,转染效率可高达95%;

  2. 极低的细胞毒性:使用可降解生物材料,细胞毒性低,转染细胞死亡率在5%左右,大大降低了因细胞毒性对实验结果的影响,实验结果更为客观;

  3. 操作简便:可用于含血清培养基培养细胞的转染,转染前后不需要更换培养液。

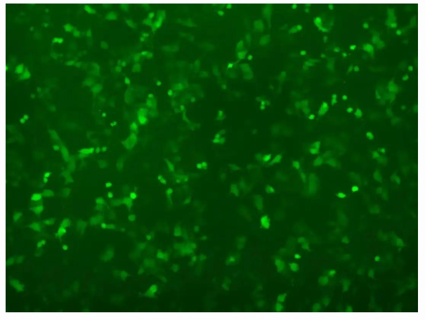
转染对比

与国际某权威DNA转染试剂相比,RFect 293对293细胞的转染阳性率可高达95%以上,而该权威试剂的DNA转染阳性率只有70%左右;特别地,RFect 293拥有极低的细胞毒性,转染后24小时,细胞死亡率仅为5%左右。更高的转染效率,更低的细胞毒性。

       图 RFect 293国际权威品牌P国内某品牌H转染AAV-293结果比较,24孔板,24小时,细胞接种量2.5X105个/孔,EGFP质粒。

图:RFect 293细胞DNA转染试剂

图:国际某权威品牌P

图:国内某品牌转染试剂H







产品

RFect Prime核酸转染试剂盒

RFect Prime Transfection Reagent是我公司研发团队在Rfect Plasmid Transfection Reagent的基础上进一步研发成功的专门用于核酸高效转染的试剂盒。


产品特点

  1. 优异的细胞转染性能:可高效转染多种贴壁细胞,转染效率在贴壁细胞中可高达90%以上;

  2. 转染功能强大:不仅可高效转染大分子质粒DNA,还可高效转染mRNA、siRNA、mimics和各种小分子DNA;

  3. 极低的细胞毒性:使用可降解生物材料,细胞毒性低,转染细胞死亡率不到10%,大大降低了因细胞毒性对实验结果的影响;

  4. 操作简便:可用于含血清培养基培养细胞的转染,转染前后不需要更换培养液。


转染0.8ug GFP质粒于Hela细胞

转染20pmol Cy3-siRNA于Hela

相关数据来源于:百代生物




图片



图片
长按扫码
申请试用


TEL:020-2984 2979


E-mail:sales@gzbiolink.com


百菱生物官网:www.gzbiolink.com


关注我们,获取更多信息!


图片