当前位置:
MCM2 (1E7) Mouse mAb #12079

MCM2 (1E7) Mouse mAb #12079

0.00
0.00
  
商品描述

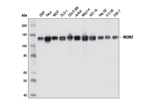
MCM2 (1E7) Mouse mAb #12079:

白质印迹法实验步骤

要进行蛋白质印迹法分析,在 4°C 下,将膜与稀释的一抗放在 5% w/v BSA、1X TBS、0.1% Tween® 20 中一起孵育,轻晃孵育一整夜。

注意:请参阅一抗说明书或产品网页了解建议使用的抗体稀释度。

A. 溶液和试剂

注意:使用反渗透去离子水 (RODI) 或同等级别的水制备溶液。

  1. 20X 磷酸盐缓冲液 (PBS):(#9808) 要制备 1 L 1X PBS:加入 50 ml 20X PBS 至 950 ml dH2O 并混合。
  2. 10 X Tris 盐缓冲液 (TBS):(#12498) 要制备 1 L 1X TBS:加入 100 ml 10X 至 900 ml dH2O 并混合。
  3. 1X SDS 上样缓冲液:Blue Loading Pack (#7722) 或 Red Loading Pack (#7723) 通过添加 1/10 体积的 30X DTT 至 1 体积的 3X SDS 上样缓冲液,以制备新鲜的 3X 还原性上样缓冲液。用 dH2O 将其稀释至 1X。
  4. 10X Tris-Glycine SDS 电泳缓冲液:(#4050) 要制备 1 L 1X 电泳缓冲液:添加 100 ml 10X 电泳缓冲液至 900 ml dH2O 中并混合。
  5. 10X Tris-Glycine 转移缓冲液:(#12539) 要制备 1 L 1X 转移缓冲液:将 100 ml 10X 转移缓冲液添加至 200 ml 甲醇 + 700 ml dH2O 中,并混合。
  6. 含有 Tween® 20 (TBST) 的 10 X Tris 盐缓冲液:(#9997) 要制备 1 L 1X TBST: 将 100 ml 10X TBST 添加至 900 ml dH2O 中并混合。
  7. 脱脂奶粉:(#9999)。
  8. 封闭缓冲液:含 5% w/v 脱脂奶粉的 1X TBST;要制备 150 ml,将 7.5 g 脱脂奶粉添加至 150 ml 1X TBST 中并充分混匀。
  9. 洗涤缓冲液:(#9997) 1X TBST。
  10. 牛血清白蛋白 (BSA): (#9998)。
  11. 一抗稀释缓冲液:含 5% BSA 的 1X TBST;要制备 20 ml,添加 1.0 g BSA 至 20 ml 1X TBST,然后充分混匀。
  12. Biotinylated Protein Ladder Detection Pack:(#7727)。
  13. Prestained Protein Marker, Broad Range (11-190 kDa):(#13953)。
  14. 印迹膜:(#12369) 本实验步骤针对硝酸纤维素膜进行了优化。通常推荐 0.2 µm 孔径。
  15. HRP 偶联二抗:Anti-mouse IgG, HRP-linked Antibody (#7076)。
  16. 检测试剂:SignalFire™ ECL Reagent (#6883)。

B. 蛋白质印迹

制备样品的常规流程。

  1. 添加含有调节因子的新鲜培养基,使其对细胞进行处理一段时间。
  2. 从培养物中吸出培养基;用 1X PBS 洗涤细胞;吸出。
  3. 加入 1X SDS 样品缓冲液(6 孔板每孔 100 µl 或 10 cm 直径的平板 500 µl)来裂解细胞。立即从板上刮下细胞并将提取物转移至微量离心管。置于冰上。
  4. 超声处理 10–15 秒以完成细胞裂解并剪切 DNA(以降低样品粘度)。
  5. 取 20 µl 样品,在 95–100°C 下加热 5 分钟;放在冰上冷却。
  6. 微量离心机内离心 5 分钟。
  7. 上样 20 µl 到 SDS-PAGE 凝胶 (10 cm x 10 cm) 上。

    注意:建议将预染蛋白分子量标准品(#13953,10 µl/泳道)上样,以验证转膜的效率,生物素化蛋白质标准品(#7727,10 µl/泳道)可以直接在膜上显出条带以确定分子量。

  8. 电转至硝酸纤维素膜 (#12369)。

C. 膜封闭和抗体孵育

注意:体积适用于 10 cm x 10 cm (100 cm2) 的膜;对于不同尺寸的膜,可相应调整体积。

I. 膜封闭

  1. (可选)转移之后,在室温下用 25 ml TBS 将硝酸纤维素膜洗涤 5 分钟。
  2. 将膜置于 25 ml 封闭缓冲液中,在室温下孵育 1 小时。
  3. 用 15ml TBST 洗涤三次,每次 5 分钟。

II. 一抗孵育

  1. 将膜和一抗(按照产品说明书中建议的适当稀释度和稀释液)置于 10 ml 一抗稀释缓冲液中在 4°C 下孵育过夜并不时轻轻晃动。
  2. 用 15ml TBST 洗涤三次,每次 5 分钟。
  3. 将膜与 Anti-mouse IgG, HRP-linked Antibody(#7076,按 1:2000的比例)和 anti-biotin, HRP-linked Antibody(#7075,按 1:1000–1:3000 的比例)一起孵育并伴有轻轻摇晃,在室温下孵育 1 小时,再检测 10 ml 封闭缓冲液中的生物素化蛋白标记物。
  4. 用 15ml TBST 洗涤三次,每次 5 分钟。
  5. 继续进行检测(D 部分)。

D. 蛋白质检测

使用说明:

  1. 在 TBST 中清洗与膜结合的 HRP (Antibody Conjugate) 三次,持续 5 分钟。
  2. 通过稀释一部分 2X 试剂 A 和一部分 2X 试剂 B(例如:要制备 10 ml,则添加 5 ml 试剂 A 和 5 ml 试剂 B),来制备 1X SignalFire™ ECL Reagent (#6883)。混匀。
  3. 将底物与膜一起孵育 1 分钟,倒掉多余溶液(膜将保持湿润),然后包裹在塑料中并在 X 线胶片下曝光。

* 避免反复接触皮肤。

发布于 2005 年 6 月 

修订于 2013 年 11 月

蛋白质印迹法再标记实验步骤

在样品数量有限时,在现有的膜上反复单独检测多种蛋白进行免疫印迹分析来说是一种非常方便的方法。应注意的是,为了获得最好的结果,始终建议您进行新的印记实验以进行分析。重新检测是一种比较有效的方法,但在每一次重新检测印迹时,背景信号可能会增强。此外,建议您在进行重新检测前确认一抗复合体已被清除,以便与新抗体结合而产生的信号不是第一次免疫印迹实验的残余信号。这可通过再次将印迹暴露于 ECL 试剂并确保在添加下一个一抗前无信号来确认。

A. 溶液和试剂

注意:用反渗透去离子 (RODI) 水或等效净化水制备溶液。

  1. 洗涤缓冲液: Tris Buffered Saline with Tween® 20 (TBST-10X) (#9997)
  2. 洗脱缓冲液:要制备 100 ml,可将 1M Tris-HCl pH 6.8 的 6.25 ml、20% SDS 的 10 ml 和 700 μl β-巯基乙醇混合。使用去离子化 H20 补足至 100 ml。仅在使用前制备新鲜的缓冲液。

B. 实验步骤

  1. 胶片下曝光后,将膜置于 TBST 中清洗四次,每次 5 分钟。在膜未干燥的情况下才可获得最佳结果。
  2. 在 50°C 下,在膜再生液中将膜孵育 30 分钟,同时轻轻晃动。
  3. 在 TBST 中将膜清洗六次,每次 5 分钟。
  4. (可选)为了确保已清除原始信号,用 5 ml TBST 将膜清洗两次,每次 10 分钟。将膜与 LumiGLO® 在室温下孵育 1 分钟,同时轻轻搅动。将膜上多余的显影液沥干。切勿令膜干燥。包在塑料包裹膜中并曝光于 X 射线胶片。
  5. 再次在 TBST 中将膜清洗四次,每次 5 分钟。
  6. 膜现在可以再次使用了。根据免疫印迹分析实验步骤中的“膜封闭和抗体孵育”步骤开始检测。