当前位置:
SOD2 (D3X8F) XP® Rabbit mAb #13141

SOD2 (D3X8F) XP® Rabbit mAb #13141

0.00
0.00
  
商品描述
应用 稀释度
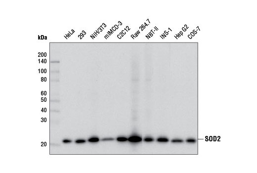
蛋白质印迹法 1:1000
免疫组织化学(石蜡) 1:1000
存储:

保存在 10 mM sodium HEPES (pH 7.5)、150 mM NaCl、100 µg/ml BSA、50% 甘油和低于 0.02% 的叠氮化钠中。存储温度为 -20℃。请不要分装抗体。

SOD2 (D3X8F) XP® Rabbit mAb 可识别内源水平的 SOD2 总蛋白。

物种反应性:

人, 小鼠, 大鼠, 猴

使用与人 SOD2 蛋白的氨基末端周围残基相对应的合成肽对动物进行免疫接种来产生单克隆抗体。

相关产品

  • Animal-Free Blocking Solution (5X)
  • Anti-rabbit IgG, HRP-linked Antibody
  • BSA
  • Biotinylated Protein Ladder Detection Pack
  • GPX1 (C8C4) Rabbit mAb
  • GPX1 Antibody
  • Hematoxylin
  • Immunohistochemistry Application Solutions Kit (Rabbit)
  • NQO1 (A180) Mouse mAb
  • Nonfat Dry Milk
  • Normal Goat Serum
  • SOD1 (71G8) Mouse mAb
  • SOD1 Antibody
  • SignalFire™ ECL Reagent
  • SignalFire™ Elite ECL Reagent
  • SignalFire™ Plus ECL Reagent
  • SignalStain® Antibody Diluent
  • SignalStain® Boost IHC Detection Reagent (HRP, Rabbit)
  • SignalStain® Citrate Unmasking Solution (10X)
  • SignalStain® DAB Substrate Kit
  • SignalStain® Mounting Medium
  • TRXR1 Antibody
  • Thioredoxin 1 (C63C6) Rabbit mAb
  • Thioredoxin 1 Antibody (Human Specific)