当前位置:
α-Smooth Muscle Actin (D4K9N) XP® Rabbit mAb #19245

α-Smooth Muscle Actin (D4K9N) XP® Rabbit mAb #19245

0.00
0.00
  
商品描述

α-Smooth Muscle Actin (D4K9N) XP® Rabbit mAb #19245:
应用 稀释度
蛋白质印迹法 1:1000
免疫沉淀 1:200
IHC-Leica® Bond™ 1:200
免疫组织化学(石蜡) 1:640
免疫荧光法(冰冻) 1:200
存储:

保存在 10 mM sodium HEPES (pH 7.5)、150 mM NaCl、100 µg/ml BSA、50% 甘油和低于 0.02% 的叠氮化钠中。存储温度为 -20℃。请不要分装抗体。

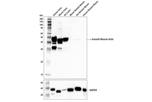
α-Smooth Muscle Actin (D4K9N) XP® Rabbit mAb 可识别内源水平的总 α-平滑肌蛋白。

物种反应性:

人, 小鼠, 大鼠

使用与人 α-平滑肌肌动蛋白中氨基末端周围的残基相对应的合成肽,对动物进行免疫接种来产生单克隆抗体。

相关产品

  • 20X LumiGLO® Reagent and 20X Peroxide
  • Animal-Free Blocking Solution (5X)
  • Anti-rabbit IgG, HRP-linked Antibody
  • Biotinylated Protein Ladder Detection Pack
  • Hematoxylin
  • Mouse Anti-rabbit IgG (Conformation Specific) (L27A9) mAb (HRP Conjugate)
  • Normal Goat Serum
  • Phototope-HRP Western Blot Detection System, Anti-rabbit IgG, HRP-linked Antibody
  • SignalStain® Antibody Diluent
  • SignalStain® Boost IHC Detection Reagent (HRP, Rabbit)
  • SignalStain® Citrate Unmasking Solution (10X)
  • SignalStain® DAB Substrate Kit
  • SignalStain® Mounting Medium
  • Tris Buffered Saline with Tween® 20 (TBST-10X)