


| Related Categories |
AC-AC, Actin 抗体, Antibodies to Actin Isoforms, 一抗, 字母顺序索引,
抗体, 细胞及亚细胞器蛋白检测抗体, 细胞生物学用抗体, 细胞骨架检测抗体
|
| biological source | mouse |
| antibody form | purified immunoglobulin |
| antibody product type | primary antibodies |
| clone | AC-15, monoclonal |
| form | buffered aqueous solution |
| mol wt | antigen mol wt 42 kDa |
| species reactivity | guinea pig, canine, Hirudo medicinalis, feline, pig, carp, mouse, chicken, rabbit, sheep, rat, human, bovine |
| should not react with | Dictyostelium discoideum |
| Drosophila | |
| application(s) | western blot: 1:25,000-1:50,000 using cell extracts of human foreskin fibroblasts or chicken fibroblasts |
| isotype | IgG1 |
| conjugate | peroxidase conjugate |
| Featured Industry | Research Pathology |
| UniProt accession no. | P60709 |
| shipped in | dry ice |
| storage temp. | −20°C |
| Gene Information |
human ... ACTB(60) mouse ... Actb(11461) rat ... Actb(81822) |
Unless otherwise stated in our catalog or other company documentation accompanying the product(s), our products are intended for research use only and are not to be used for any other purpose, which includes but is not limited to, unauthorized commercial uses, in vitro diagnostic uses, ex vivo or in vivo therapeutic uses or any type of consumption or application to humans or animals.
slightly modified β-cytoplasmic actin N-terminal peptide, Ac-Asp-Asp-Asp-Ile-Ala-Ala-Leu-Val-Ile-Asp-Asn-Gly-Ser-Gly-Lys, conjugated to KLH.
To view an Actin antibody selection guide, please visit
Solution in 0.01 M phosphate buffered saline, pH 7.4, containing 0.01% merthiolate.
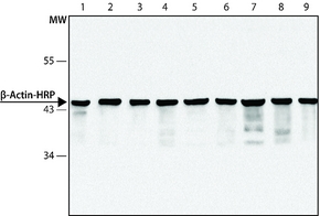
Monoclonal mouse anti-actin antibody was used as a loading control for western blot analysis of immunoprecipitated proteins from rat dorsal root ganglion cocultures.
Monoclonal mouse anti-actin was used as a loading control for western blot analysis of rat liver protein lysates.
Mouse monoclonal anti-β-actin-peroxidase antibody can be used as a primary antibody for western blot assays. Monoclonal Anti-ß-Actin-Peroxidase antibody has been used in western blot analysis and chemiluminescent detection.
Monoclonal mouse anti-actin antibody was used as a loading control for western blot analysis of immunoprecipitated proteins from rat dorsal root ganglion cocultures.
Monoclonal mouse anti-actin was used as a loading control for western blot analysis of rat liver protein lysates.
Mouse monoclonal anti-β-actin-peroxidase antibody can be used as a primary antibody for western blot assays.
The two major cytoskeletal proteins implicated in cell motility are actin and myosin. Actin and myosin are constituents of many cell types and are involved in cellular process including locomotion, secretion, cytoplasmic streaming, phagocytosis, and cytokinesis. The six isoforms of actins are characterized by electrophoresis and amino acid sequence analysis. Four of them represent the differentiation markers of muscle tissues and two are found practically in all cells. β-Actin (ACTB) modulates cell growth, migration and the G-actin pool. Mutations in ACTB leads to pleiotropic developmental disorder.
Actin is one of the most conserved eukaryotic proteins and is expressed in mammals and birds as at least six isoforms. There are three α-actins (skeletal, cardiac, and smooth muscle), one β-actin (β-nonmuscle), and two γ-actins (γ-smooth muscle and γ-non muscle). Actin isoforms show >90% overall sequence homology, but only 50–60% homology in their NH2-terminal residues. ACTB (actin β) gene codes for β-actin. It is a cytoskeletal housekeeping protein. It is present in the cytoplasm. The ACTB gene is located on human chromosome 7p22.1.
Mouse monoclonal anti-β-actin-peroxidase antibody specifically localizes β-actin in a wide variety of tissues and species using immunoblotting (42kDa). The antibody cross-reacts with β-Actin expressed in cells of human, bovine, sheep, pig, rabbit, cat, dog, mouse, rat, guinea pig, chicken, carp, and Hirudo medicinalis (leech) tissues, but not in Dictyostelium discoideum amoebae or Drosophila.
In staining of chicken gizzard ultrathin tissue cryosections, the antibody labels the dense bodies and longitudinal channels linking consecutive dense bodies that are also occupied by desmin and the membrane-associated dense plaque. It does not stain adult cardiac and skeletal muscles except for traces due to contaminations of the sample with non-muscle cells, or if embryonic tissue is being used.
Mouse monoclonal anti-β-actin-peroxidase antibody specifically localizes β-actin in a wide variety of tissues and species using immunoblotting (42kDa). The antibody cross-reacts with β-Actin expressed in cells of human, bovine, sheep, pig, rabbit, cat, dog, mouse, rat, guinea pig, chicken, carp, and Hirudo medicinalis (leech) tissues, but not in Dictyostelium discoideum amoebae or Drosophila.
For continuous use, store at 2-8 °C for up to one month. For prolonged storage, freeze in working aliquots. Repeated freezing and thawing, or storage in frost-free freezers, is not recommended. If slight turbidity occurs upon prolonged storage, clarify the solution by centrifugation before use. Working dilution samples should be discarded if not used within 12 hours.
|
商品类别
|
*商品编号
|
商品名称
|
规格型号
|
|
SIGMA
|
08198-10MG
|
刺五加苷E
Eleutheroside E
|
10MG
|
|
SIGMA
|
12007C-500ML
|
胎牛血清
|
500ml/瓶
|
|
SIGMA
|
152463-250ML
|
2-甲基-2-丁醇
|
250ml/瓶
|
|
SIGMA
|
16005-1KG-R
|
多聚甲醛
|
1kg
|
|
SIGMA
|
16922-500G-F
|
Tryptone
(vegetable)
|
500g
|
|
SIGMA
|
202398-250G
|
聚乙二醇
|
250g/瓶
|
|
SIGMA
|
217263-5G
|
Sodium
thiosulfate
|
5g
|
|
SIGMA
|
281778-100ML
|
(3-Aminopropyl)trimethoxysilane
|
100ML
|
|
SIGMA
|
30070-10G
|
半胱胺
|
10G
|
|
SIGMA
|
31395-10G
|
葡聚糖硫酸酯 钠盐
|
10g
|
|
SIGMA
|
31395-50G
|
葡聚糖硫酸酯钠盐
|
50g
|
|
SIGMA
|
31417-100MG-F
|
葡聚糖
|
100mg
|
|
SIGMA
|
322415-1L
|
甲醇
|
1L/瓶
|
|
SIGMA
|
341584-25G
|
聚(乙烯醇)
|
25g
|
|
SIGMA
|
341584-500G
|
聚(乙烯醇)
|
500g
|
|
SIGMA
|
36733-250MG
|
(−)-Nicotine
|
250mg
|
|
SIGMA
|
44112-100G-F
|
Tween
20
|
100g
|
|
SIGMA
|
459836-500ML
|
Ethyl
alcohol
|
500ml/瓶
|
|
SIGMA
|
50839-25MG
|
梓醇苷
catalpol
|
25MG
|
|
SIGMA
|
557354-5MG
|
ROS
Inhibitor
|
5mg
|
|
SIGMA
|
57285-U
|
固相微萃取头组合套件
|
|
|
SIGMA
|
63559-250G
|
D-甘露糖醇
|
250g/瓶
|
|
SIGMA
|
63689-25ML-F
|
2-巯基乙醇
|
25ml
|
|
SIGMA
|
71504-250G
|
Sodium
phosphate monobasic monohydrate
|
250g
|
|
SIGMA
|
71507-250G
|
磷酸钠
一元 一水合物
|
250g
|
|
SIGMA
|
71640-250G
|
Sodium
phosphate dibasic
|
250g
|
|
SIGMA
|
72049-250G
|
硫代硫酸钠
|
250g
|
|
SIGMA
|
769193-1KG
|
Cremophor
A25
|
1kg
|
|
SIGMA
|
81253-250G
|
PEG6000
|
250g/瓶
|
|
SIGMA
|
81323-250G
|
聚乙二醇甲醚
|
250g/瓶
|
|
SIGMA
|
84097-250G
|
蔗糖
|
250g
|
|
SIGMA
|
90974-10MG
|
刺五加苷B
Eleutheroside B
|
10MG
|
|
SIGMA
|
93283-100ML
|
Tris-EDTA
buffer solution
|
100ml
|
|
SIGMA
|
A0500-100G
|
乙酰胺
|
100G
|
|
SIGMA
|
A1153-1MG
|
抑肽酶
来源于牛肺
|
1mg/瓶
|
|
SIGMA
|
A1410-5MG
|
放线菌素
D
|
5mg
|
|
SIGMA
|
A2547-100UL
|
Monoclonal
Anti-Actin, α-Smoot
|
100ul/支
|
|
SIGMA
|
A2942-100ML
|
两性霉素
B 溶液
|
100ml
|
|
SIGMA
|
A3656-5MG
|
5-Aza-2′-deoxycytidine
|
5mg
|
|
SIGMA
|
A3854-200UL
|
Monoclonal
Anti-β-Actin Peroxi
|
200ul
|
|
SIGMA
|
A4544-100G
|
L-Ascorbic
acid
|
100g
|
|
SIGMA
|
A6410-100UN
|
三磷酸腺苷双磷酸酶
来源于马铃薯
|
100un/支
|
|
SIGMA
|
A7736-1G
|
Albumin
human
|
1g
|
|
SIGMA
|
A7906-100G
|
Albumin
from Bovine Serum (ABS
|
100g/瓶
|
|
SIGMA
|
A8674-50MG
|
Antimycin
A
|
50mg
|
|
SIGMA
|
A9415-5MG
|
Actinomycin
D
|
5mg
|
|
SIGMA
|
A9525-5MG
|
人血管紧张素
II
|
5mg/瓶
|
|
SIGMA
|
A9731-1G
|
Albumin
human
|
1g/支
|
|
SIGMA
|
A9771-1G
|
FITC-albumin
|
1g
|
|
SIGMA
|
B1686-5MG
|
BIO
|
5mg
|
|
SIGMA
|
B1911-100ML
|
NBT
Liquid Substrate System
|
|
|
SIGMA
|
B2064-100G
|
Bovine
Serum Albumin
|
100g
|
|
SIGMA
|
B2261-25MG
|
Hoechst
33342
|
25mg
|
|
SIGMA
|
B2635-10G
|
Busulfan
|
10g
|
|
SIGMA
|
B5002-100MG
|
5-Bromo-2′-deoxyuridine
|
100mg
|
|
SIGMA
|
B5002-500MG
|
BrdU
|
500MG
|
|
SIGMA
|
B6542-5MG
|
Brefeldin
A
|
5mg/支
|
|
SIGMA
|
B6688-5MG
|
BMS
493
|
5mg
|
|
SIGMA
|
BP501
|
Levonorgestrel
|
100mg
|
|
SIGMA
|
C0130-100MG
|
胶原蛋白酶
|
100mg
|
|
SIGMA
|
C0424-10MG
|
pk11995
|
10mg
|
|
SIGMA
|
C0732-100G
|
西吡氯铵
|
|
|
SIGMA
|
C2401-1G
|
Crotaline
|
1g
|
|
SIGMA
|
C2674-100MG
|
胶原蛋白酶
|
100mg
|
|
SIGMA
|
C2674-1G
|
胶原蛋白酶
|
1g
|
|
SIGMA
|
C2674-500MG
|
胶原蛋白酶
|
500mg
|
|
SIGMA
|
C2687-100UL
|
Monoclonal
Anti-Calponin antib
|
100ul/支
|
|
SIGMA
|
C2759-100G
|
Carbonyl
cyanide 3-chloropheny
|
100g/瓶
|
|
SIGMA
|
C2759-100MG
|
Carbonyl
cyanide 3-chlorophenylhydrazone
|
100mg
|
|
SIGMA
|
C4555-5G
|
甲基-β-环糊精
|
5G
|
|
SIGMA
|
C5138-100MG
|
胶原蛋白酶
|
100mg
|
|
SIGMA
|
C5138-1G
|
胶原蛋白酶
|
1g
|
|
SIGMA
|
C5138-25MG
|
胶原蛋白酶
|
25mg
|
|
SIGMA
|
C5174-5MG
|
4′-Chlorodiazepam
|
5mg/支
|
|
SIGMA
|
C5670-100G
|
Calcium
chloride
|
100g
|
|
SIGMA
|
C6158-50G
|
结晶紫
|
50g
|
|
SIGMA
|
C7902-500G
|
氯化钙
|
500g
|
|
SIGMA
|
C8661-100G
|
氯化钴(II)
六水合物
|
100g/瓶
|
|
SIGMA
|
CDS021691-100MG
|
D-Glucosamine
|
100mg/支
|
|
SIGMA
|
D1556-250ML
|
OptiPrep
Density Gradient Medium
|
250ml
|
|
SIGMA
|
D2650-100ML
|
DMSO
|
100ml
|
|
SIGMA
|
D4693-1G
|
DISPASE
II
|
1g/瓶
|
|
SIGMA
|
D4902-25MG
|
Dexamethasone
|
25mg
|
|
SIGMA
|
D5025-375KU
|
Deoxyribonuclease
I from bovine pancrea
|
375KU
|
|
SIGMA
|
D5879-100ML
|
DMSO
|
100ml
|
|
SIGMA
|
D5879-500ML
|
DMSO
|
500ml
|
|
SIGMA
|
D6134-1G
|
2-Deoxy-D-Glucose
|
1g/瓶
|
|
SIGMA
|
D6750-100G
|
脱氧胆酸钠
|
100G
|
|
SIGMA
|
D8418-500ML
|
DMSO
|
500ml
|
|
SIGMA
|
D8555-5MG
|
N,N-Dihexyl-2-(4-fluorophenyl)
|
5mg/瓶
|
|
SIGMA
|
D9542-10MG
|
DAPI
|
10mg
|
|
SIGMA
|
D9785-10L
|
DMEM/Nutrient
Mixture F-12 Ham
|
10L
|
|
SIGMA
|
DN25-100MG
|
脱氧核糖核酸酶
|
100mg
|
|
SIGMA
|
DN25-10MG
|
脱氧核糖核酸酶
I 来源于牛胰腺
|
10mg/瓶
|
|
SIGMA
|
E003256-25G
|
L-(+)-阿拉伯糖
|
25G
|
|
SIGMA
|
E10521-10G
|
3-氨基苯甲酸乙酯
|
10g
|
|
SIGMA
|
E2888-100ML
|
Earle
平衡盐
|
100ml
|
|
SIGMA
|
E6511-100G
|
Ethylenediaminetetraacetic
acid tetrasodium salt dihydrate
|
100G
|
|
SIGMA
|
E7885-1MG
|
弹性蛋白酶
|
1mg
|
|
SIGMA
|
E7885-5MG
|
弹性蛋白酶
来源于猪胰腺
|
5mg
|
|
SIGMA
|
F2637-10G
|
Ficoll
400
|
10g
|
|
SIGMA
|
F2637-5G
|
Ficoll
400
|
5g
|
|
SIGMA
|
F3879-250MG
|
Fibrinogen
来源于人类血浆
|
250mg/瓶
|
|
SIGMA
|
F4375-10G
|
Ficoll
PM 400
|
10g
|
|
SIGMA
|
F5259-2ML
|
Anti-Human
IgA (α-chain specific)−FITC antibody produced in goat
|
2ml
|
|
SIGMA
|
F8129-25G
|
Acid
Fuchsin
|
25g
|
|
SIGMA
|
G1514-100G
|
D-(+)-葡萄糖胺
盐酸盐
|
100g
|
|
SIGMA
|
G5388-500G
|
Galactose
|
500g
|
|
SIGMA
|
G7021-1KG
|
D-(+)-葡萄糖
|
1KG
|
|
SIGMA
|
G7422-200UL
|
Anti-GSDMD
(126-138) antibody
|
200ul
|
|
SIGMA
|
G9422-10G
|
β-甘油磷酸
|
10g
|
|
SIGMA
|
G9422-50G
|
β-Glycerophosphate
disodium salt hydrate
|
50g
|
|
SIGMA
|
G9652-1MG
|
GMI
|
1mg
|
|
SIGMA
|
GBL654002-100EA
|
Grace
Bio-Labs SecureSeal imaging spacer
|
100EA
|
|
SIGMA
|
H3136-100G
|
Hematoxylin
|
100g
|
|
SIGMA
|
H3375-250G
|
HEPES
|
250G/瓶
|
|
SIGMA
|
H3506-100MG
|
透明质酸酶
来源于牛睾丸
|
100mg/瓶
|
|
SIGMA
|
H8627-1G
|
羟基脲
|
1G
|
|
SIGMA
|
HT254-250ML
|
Van
Gieson Solution Acid Fuchsin
|
250ml
|
|
SIGMA
|
I0516-5ML
|
Insulin
solution
|
5ml
|
|
SIGMA
|
I202-100G
|
咪唑
|
|
|
SIGMA
|
I3021-100ML
|
IGEPAL
CA-630
|
100G
|
|
SIGMA
|
I4131-10MG
|
IgG来源大鼠血清
|
10mg/支
|
|
SIGMA
|
I5500-100MG
|
Insulin
from bovine pancreas
|
100mg/瓶
|
|
SIGMA
|
L1375-100ML
|
DL-乳酸钠
溶液
|
|
|
SIGMA
|
L1418-200UL
|
Anti-LAMP1
antibody produced in rabbit
|
200ul
|
|
SIGMA
|
L2884-1MG
|
亮抑酶肽
|
1mg/瓶
|
|
SIGMA
|
L4391-1MG
|
Lipopolysaccharides
|
1mg
|
|
SIGMA
|
L6146-1L
|
Lugol
溶液
|
1L
|
|
SIGMA
|
M0199-5MG
|
Mdivi-1
|
5mg/瓶
|
|
SIGMA
|
M0375-100G
|
马来酸
|
100g
|
|
SIGMA
|
M0375-500G
|
马来酸
|
500g
|
|
SIGMA
|
M2128-1G
|
噻唑蓝MTT
|
1g
|
|
SIGMA
|
M3148-25ML
|
2-巯基乙醇
|
25ml
|
|
SIGMA
|
M4403-0.2ml
|
Monoclonal
Anti-MAP2 antibody produced in mouse
|
|
|
SIGMA
|
M5655-500MG
|
噻唑蓝
|
500mg/支
|
|
SIGMA
|
M5939-5MG
|
(R)-N4-Hydroxy-N1-[(S)-2-(1H-i
|
5mg/瓶
|
|
SIGMA
|
M6250-250ML
|
2-Mercaptoethanol
(2ME)
|
250ml
|
|
SIGMA
|
M7145-100ML
|
非必需氨基酸溶液
|
100ml/瓶
|
|
SIGMA
|
M8046-1G
|
Mifepristone
|
1g/瓶
|
|
SIGMA
|
M8883-250MG
|
4-甲基伞形酮磷酸酯
|
250mg/瓶
|
|
SIGMA
|
MAK104-1KT
|
Total
Carbohydrate Assay Kit
|
1kit
|
|
SIGMA
|
MAK316-1KT
|
亚铁血红素检测试剂盒
|
1KT
|
|
SIGMA
|
MINI26-1KT
|
PKH26
Red Fluorescent Cell Linker Mini Kit
|
1kit
|
|
SIGMA
|
N7143-10MG
|
Nigericin
sodium salt
|
10mg
|
|
SIGMA
|
P-4265
|
Pepstatin
A
|
100
mg
|
|
SIGMA
|
P1379-1L
|
Tween
20
|
1L/瓶
|
|
SIGMA
|
P1644-500ML
|
Percoll
|
500ml
|
|
SIGMA
|
P2636-100MG
|
Poly-L-lysine
hydrobromide
|
100mg
|
|
SIGMA
|
P3803-100ML
|
Phenol/Chloroform/Isoamyl
alco
|
100ml/瓶
|
|
SIGMA
|
P4056-50UG
|
Platelet-Derived
Growth Factor
|
50ug/支
|
|
SIGMA
|
P4543-25G
|
丙戊酸
钠盐
|
25g/瓶
|
|
SIGMA
|
P5515-1MG
|
Prostaglandin
E1
|
1mg
|
|
SIGMA
|
P5976-1MG
|
Anti-Platelet-Derived
Growth F
|
1mg/支
|
|
SIGMA
|
P6148-500G
|
Paraformaldehyde
|
500g
|
|
SIGMA
|
P6188-1MG
|
Prostaglandin
I2 sodium salt
|
1mg
|
|
SIGMA
|
P8139-1MG
|
Phorbol
12-myristate 13-acetate
|
1mg
|
|
SIGMA
|
P8340-1ML
|
Protease
Inhibitor Cocktail
|
1ml
|
|
SIGMA
|
P8825-.2ML
|
Anti-Proliferating
Cell Nuclea
|
0.2ml/支
|
|
SIGMA
|
P8833-25MG
|
Puromycin
dihydrochloride
|
25mg
|
|
SIGMA
|
P9767-5G
|
棕榈酸钠
|
5g/支
|
|
SIGMA
|
PHR1237-500MG
|
Cholecalciferol
(Vitamin D3)
|
500mg
|
|
SIGMA
|
PVP360-100G
|
聚乙烯吡咯烷酮
|
100g
|
|
SIGMA
|
PVP360-500G
|
聚乙烯吡咯烷酮
|
500g
|
|
SIGMA
|
RTC000068-1L
|
Sodium
Azide 0.05% Solution
|
1L
|
|
SIGMA
|
S-6422
|
Na4P2O7×10H20
(NaPPi)
|
500G
|
|
SIGMA
|
S0130-1G
|
链脲佐菌素
|
1g
|
|
SIGMA
|
S0192-500ML
|
Hematopoietic
Stem Cell Expansion Medium
|
500ml
|
|
SIGMA
|
S0192-6X500ML
|
Stemline
II Hematopoietic Stem Cell Expansion Medium
|
1PK
|
|
SIGMA
|
S2626-1G
|
亚精胺
|
1g
|
|
SIGMA
|
S4641-1KG
|
柠檬酸钠
二水合物
|
1kg/瓶
|
|
SIGMA
|
S607-5G
|
水杨羟肟酸
|
5G
|
|
SIGMA
|
S6506-5G
|
Silver
nitrate
|
5g
|
|
SIGMA
|
S7907-500G
|
磷酸钠
二元
|
500g
|
|
SIGMA
|
S8032-25G
|
Sodium
azide
|
25g
|
|
SIGMA
|
S8636-100ML
|
Sodium
pyruvate solution
|
100ml
|
|
SIGMA
|
S9133-1MG
|
亚硒酸钠
|
1mg
|
|
SIGMA
|
S9637-100G
|
丁二酸钠
二元 六水合物
|
100G
|
|
SIGMA
|
SAB4200071-200UL
|
ANTI-FLAG
antibody, Rat monocl
|
200ul/支
|
|
SIGMA
|
SAB4200085-200UL
|
Monoclonal
Anti-AGO2 antibody
|
200ul/支
|
|
SIGMA
|
SAB4200539-200UL
|
Anti-Myocardin
antibody produc
|
200ul/支
|
|
SIGMA
|
SML0286-25MG
|
BMS753
|
|
|
SIGMA
|
SML0429-5MG
|
Ac-YVAD-cmk
|
5mg
|
|
SIGMA
|
SML0737-25MG
|
MitoTEMPO
|
25mg
|
|
SIGMA
|
SML0737-5MG
|
MitoTEMPO
|
5mg
|
|
SIGMA
|
SRP0221-20UG
|
PTPIA2
Active human
|
20ug
|
|
SIGMA
|
T0665-1G
|
holo-Transferrin
human
|
|
|
SIGMA
|
T0665-50MG
|
holo-Transferrin
|
50mg
|
|
SIGMA
|
T1077-10UG
|
Tissue
Inhibitor of Metalloproteinase-2 人
|
10ug
|
|
SIGMA
|
T4049-100ML
|
胰蛋白酶-EDTA
溶液
|
100ml
|
|
SIGMA
|
T4049-500ML
|
胰蛋白酶-EDTA
溶液
|
500ml
|
|
SIGMA
|
T4393-100UN
|
凝血酶
来源于人类血浆
|
100un
|
|
SIGMA
|
T4424-100ML
|
Trypsin
solution from porcine pancreas
|
100ml
|
|
SIGMA
|
T4424-500ML
|
Trypsin
solution from porcine pancreas
|
500ml
|
|
SIGMA
|
T48402-5G
|
2,2,2-三溴乙醇
|
5g/瓶
|
|
SIGMA
|
T4952-5MG
|
Tanshinone
IIA
|
5mg
|
|
SIGMA
|
T5168-100UL
|
Monoclonal
Anti-α-Tubulin antibody produced in mouse
|
100ul
|
|
SIGMA
|
T5941-100G
|
Trizma
盐酸盐
|
100g
|
|
SIGMA
|
T5941-500G
|
Trizma
盐酸盐
|
500g
|
|
SIGMA
|
T6522-25MG
|
胰蛋白酶抑制剂
|
25mg
|
|
SIGMA
|
T7009-100UN
|
凝血酶
来源于人类血浆
|
100un
|
|
SIGMA
|
T7009-1KU
|
凝血酶
|
1ku
|
|
SIGMA
|
T8203-100UL
|
Anti-α-Tubulin
antibody
|
100ul/支
|
|
SIGMA
|
T8787-50ML
|
Triton
X-100
|
50ml
|
|
SIGMA
|
T9284-100ML
|
Triton
X-100
|
100ml
|
|
SIGMA
|
T9531-5G
|
D-(+)-海藻糖
二水合物
|
5g/瓶
|
|
SIGMA
|
U120-1MG
|
U0126
monoethanolate
|
1mg/瓶
|
|
SIGMA
|
V900019-500G
|
柠檬酸
|
500g
|
|
SIGMA
|
V900058-500G
|
Sodium
chloride
|
500g
|
|
SIGMA
|
V900061-500G
|
Sodium
phosphate dibasic
|
500g
|
|
SIGMA
|
V900068-500G
|
Potassium
chloride
|
500g
|
|
SIGMA
|
V900095-500G
|
柠檬酸钠
|
500g
|
|
SIGMA
|
V900116-500G
|
蔗糖
|
500g
|
|
SIGMA
|
V900144-500G
|
甘氨酸
|
500g
|
|
SIGMA
|
V900408-100G
|
L-谷氨酸
|
100G
|
|
SIGMA
|
V900477-100G
|
HEPES
|
100g
|
|
SIGMA
|
V900483-500G
|
Trizma碱
|
500g
|
|
SIGMA
|
V900510-100G
|
琼脂糖
|
100g/瓶
|
|
SIGMA
|
V900548-500ML
|
TWEEN
20
|
500ml
|
|
SIGMA
|
V900853-25ML
|
TEMED
|
25ml
|
|
SIGMA
|
V900859-500G
|
十二烷基硫酸钠
|
500g
|
|
SIGMA
|
V900883-25G
|
过硫酸铵(AP)
|
25g
|
|
SIGMA
|
V900930-1MG
|
雷帕霉素
|
1mg
|
|
SIGMA
|
Y1625-250G
|
Yeast
Extract
|
250g
|
2026-04-07
2026-03-02
限时免费试用!加拿大Labplas无菌采样袋,让您的样品更安全!
2026-01-23
2026-01-12
2025-12-31